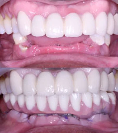
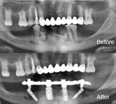
การฝังรากฟันเทียมแบบทั่วไป
การฝังรากแบบนี้เป็นวิธีที่ทำกันโดยทั่วไป สามารถทำได้เกือบทุกกรณี สามารถฝังรากฟันเทียมชนิดนี้เพื่อทดแทนฟันที่สูญเสียไปเพียงซี่เดียว หลายซี่ หรืออาจจะทั้งปาก
โดยปกติแล้วการฝังรากฟันเทียมแบบทั่วไปนั้นแบ่งออกเป็น 2 ขั้นตอน ระยะห่างแต่ละขั้นตอนนั้นห่างกันประมาณ 2-6 เดือน
การฝังรากฟันเทียมแบบทั่วไปสามารถทำได้ในสภาพกระดูกขากรรไกรของคนไข้ส่วนใหญ่ แต่หากในบางกรณีที่คนไข้กระขากรรไกรมีความบางกว่าปกติ หรือมีการสูญเสียกระดูกบริเวณที่จะทำหารฝังรากฟันเทียม ทันตแพทย์เฉพาะทางอาจพิจารณาให้ปลูกกระดูกก่อนรับการฝังรากฟันเทียม เพื่อให้กระดูกบริเวณนั้นมีความหนา และแข็งแรงพอรองรับการฝังรากฟันเทียม




